当院では問題のある歯だけを治療するのではなく、お口全体を
俯瞰した治療を行います。
なぜなら、お口は緻密なバランスで成り立っており、一見関係の
ない部分が根本の原因だったりするためです。
当院では、その場限りの治療ではなく、科学的根拠に基づいた
診査診断、治療計画を立案し根拠に戻づいた治療を実施します。
Information
大切なのは10年~20年後の笑顔
- 「奥沢駅」より0分
- 「自由が丘駅」より6分
- 「セカンドオピニオン」対応
「再発」を
防ぐ
「土曜」
も診療













その場しのぎではなく
未来 を 見据 えた 治療 を
- 治療計画の立案
- 抜歯を回避する
- 再発をさせない
- より美しく
01 「治療計画」の立案

本気で患者さんのことを考えた治療
だけを実施

可能な限り 痛みを 抑えた 、 削る 量が 少ない、 歯の 神経を 守る 治療
心からの安心を皆様に
大切な身体のことだから、
「安心して任せられる」場所でありたい。
そのために私たちは、
プロとして日々研鑽し、
一人の人間としての誠実さと温かさを持ち、
患者さんの不安に寄り添いながら、
信頼に応え続けます。
「ここなら大丈夫」
「任せてよかった」
そう思っていただける医療を、
私たちは目指しています。

KEIデンタルクリニック 院長
はば けいすけ 羽場 敬祐
- 日本大学歯学部 卒業
- JIADS ペリオインプラントコース
- JIADS 再生療法コース
- JIADS 補綴コース
- 5D-JAPANペリオインプラントコース
- 5D-JAPAN University of Hawaii
カダバーサイナスコース - 日本歯周病学会 会員
- その他多数参加

質の高い治療を皆様に
「チーム医療」 実践医院
東京都世田谷区奥沢の歯医者「KEIデンタルクリニック」は、地元の患者さんを中心に、自由が丘や田園調布、23区外からも数多くの患者さんにご来院いただいています。当院は「精密インプラント」や「矯正歯科」、「審美セラミック治療」を始め、専門性の高い歯科治療を「チーム医療」として実践しています。
TEAM MEDICAL
歯科医師(矯正認定医)
瀧澤 秀臣
- 昭和大学大学院 卒業
- 昭和大学歯学部歯科矯正学講座 助教(歯科)
- 昭和大学歯学部歯科矯正学講座 助教
- 昭和医科大学歯学部歯科矯正学講座 講師
- 日本矯正歯科学会 認定医
- 東京矯正歯科学会
- 日本舌側矯正歯科学会
- 日本口蓋裂学会
- 日本顎関節学会
- 日本スポーツ歯科学会

歯科医師(歯科麻酔認定医)
立川 慶子
- 昭和大学歯学部 卒業
- 新潟大学医歯学総合病院歯科麻酔科にて
研修医修了 - 昭和大学歯科麻酔科入局 助教
- 日本歯科麻酔学会 認定医

歯科技工士
上原 芳樹
- 有限会社ファイン 代表取締役
- 新大阪歯科技工士専門学校専攻科 非常勤講師
- 大阪SJCDテクニシャンコース ディレクター
- ジンマーデンタル社 公認インストラクター
- 日本顎咬合学会 指導歯科技工士
- 日本口腔インプラント学会認定
インプラント専門歯科 技工士

歯科技工士
石井 ひとみ
- 歯科技工所 バイオセラミック勤務
- 日本歯科技工学会学術大会
テクニカルコンテスト銅賞受賞 - 首都圏歯科技工士会連合会主
歯型彫刻コンテスト最優秀賞受賞 - ワールドデンタルショー ブース講演、デモンストレーション

BEAUTIFUL TEETH
いつまでも
健康な歯を
KEI デンタルクリニックの治療成果をご覧ください
精密インプラント治療
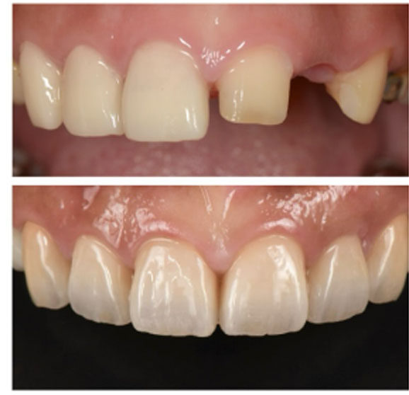
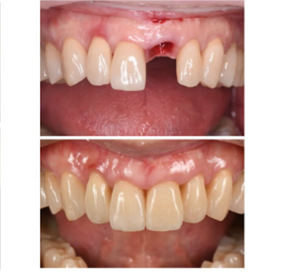
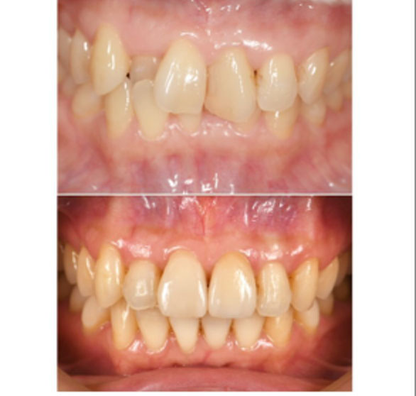
CASE 1精密インプラント治療
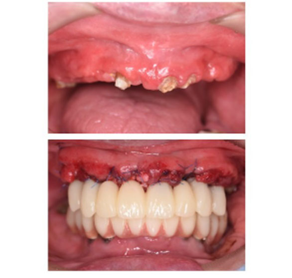
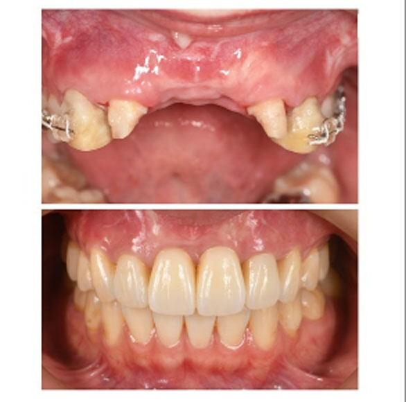
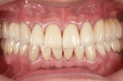
CASE 2ボロボロの歯の治療
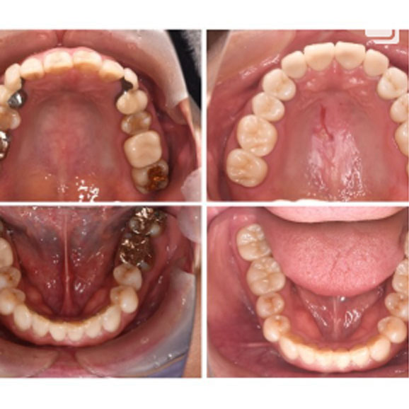
CASE 3大人の矯正治療
CASE 4審美セラミック治療

過去治療したセラミックの被せ物の形と色を改善した症例。
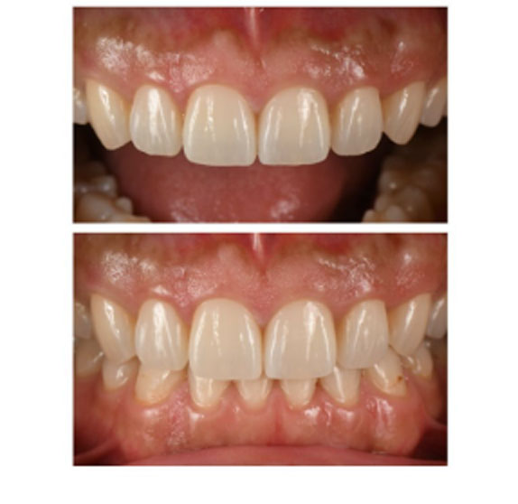
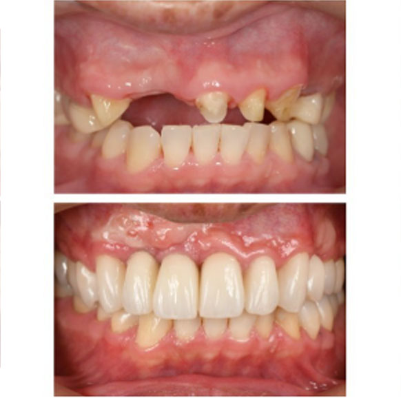
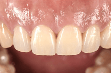
CASE 5審美セラミック治療

テトラサイクリン歯をセラミッククラウンで改善したケース。
CASE 6

東急目黒線「奥沢駅」徒歩0分/東急東横線「自由が丘駅」徒歩6分の立地にある歯医者「KEI デンタルクリニック」です。治療精度と患者さんの満足を高めるための4つの取り組みをご紹介します。成功率を向上させる「精密機器」、再発を防ぐ「原因療法」、しっかりと「治療内容」を説明、厳格なヨーロッパ基準の「滅菌体制」。患者さんからの口コミ、評判が多い歯医者です。自由が丘や田園調布からも、多く患者さんが来院されます。
患者さんから 「高い評価」を受ける 当院の 「専門」 治療
精密
インプラント
IMPLANT
安心の
10年保証
オペ歴 20 年以上
1,000 本以上 の実績
1本であれば 「20分」 で終了

オペ当日に噛める術式
オールオン4(All-on-4)や抜歯即時荷重法でその日から噛める歯が手に入ります。

「骨造成」にも対応
骨が少ない方、骨が薄い方でも、骨を増やす「骨造成」でインプラント治療ができる可能性があります。

大人の
矯正歯科
ORTHODONTICS
相談料 0 円
世界70ヵ国で導入「エンジェルアライナー」
最短3か月で理想の歯並びへ

エンジェルアライナー×光加速装置
透明で取り外し可能な「エンジェルアライナー」矯正と一緒に光加速装置を使うことで、治療期間が1/2に短縮。

後戻り/Eライン矯正にも対応
表側矯正や裏側矯正はもちろん、後戻り矯正、横顔をきれいにするEライン矯正にも対応しています。

審美
セラミック治療
AESTHETIC
機能性 だけでなく
審美性 も ◎
3D技術 を活用し 「顔全体」に
調和する歯の色、形、歯並びを創造

デジタル診断×TOPレベルの技工士
3D技術を活用したデジタル診断をもとに、日本TOPレベルの技工士が、お顔全体に調和した美しい歯を創造します。

削らないセラミック治療にも対応
薄いセラミックを貼り付けるノンプレップラミネートべニア法に対応しています。

精密根管治療
ENDO
平均
来院回数 2 回
マイクロスコープ や CT を活用
成功率 90 %以上 「 米国式」 根管治療

無菌状態での治療
高い殺菌効果を誇るMTAセメント、口腔内の唾液をコントロールするラバーダムなどを使用することで、再発防止に努めます。

「難症例」にも対応
抜歯を防ぐ「歯根端切除術」にも対応。セカンドオピニオンも受け付けていますので、お気軽にご相談ください。

CONSULTATION 初診個別相談
お支払いに関して
クレジット、デンタルローンに対応。

また、「デンタルローン」は 最大 84回 までの分割にも対応しています。






































